MYRAY PROXIMA X6
Dijagnostika na najvišoj razini
Precizna dijagnostika osigurava ispravne odluke, ključ je kvalitetnog planiranja i temelj svake uspješne terapije. Zato u našoj ordinaciji koristimo MyRay ProXIma X6, napredni radiološki sustav koji objedinjuje sve ključne snimke: ortopan, CBCT 3D snimanje, telerentgen te ciljano snimanje pojedinačnih zuba i manjih regija čeljusti. Sve na jednom mjestu, brzo, sigurno, uz minimalnu dozu zračenja i maksimalnu sigurnost.

Ova vrhunska tehnologija pruža iznimno detaljne i pouzdane dijagnostičke podatke, ključne za ispravno planiranje svake terapije. Bilo da planiramo ortodontsku terapiju, endodontski zahvat, implantološko rješenje ili oralnu kirurgiju, MyRay ProXIma X6 omogućuje nam maksimalnu kontrolu, sigurne odluke te predvidljive i dugoročno učinkovite rezultate.

Naš cilj nije samo liječiti, već pružiti osjećaj sigurnosti i povjerenja u svakom koraku terapije. Upravo zato u našoj ordinaciji tehnologija i stručnost čine nerazdvojnu cjelinu, jer kada dijagnostika daje jasne odgovore, terapija je pouzdanija i uspješnija.


ORTOPAN
(PANORAMSKI RADIOGRAM)
Ortopan mogućuje cjelovit pregled zuba, čeljusti i okolnih struktura na jednoj snimci. Idealan je za procjenu stanja zuba, kosti, zubnih zametaka i promjena koje nisu vidljive kliničkim pregledom, te je temelj svake kvalitetne dentalne dijagnostike.
CBCT
(3D DIJAGNOSTIKA)
CBCT pruža 3D prikaz zuba, kosti i mekih tkiva uz visoku rezoluciju. Nezamjenjiv je pri planiranju implantoloških, oralno-kirurških, endodontskih i složenih dijagnostičkih zahvata, jer omogućuje maksimalnu preciznost i predvidljivost terapije.




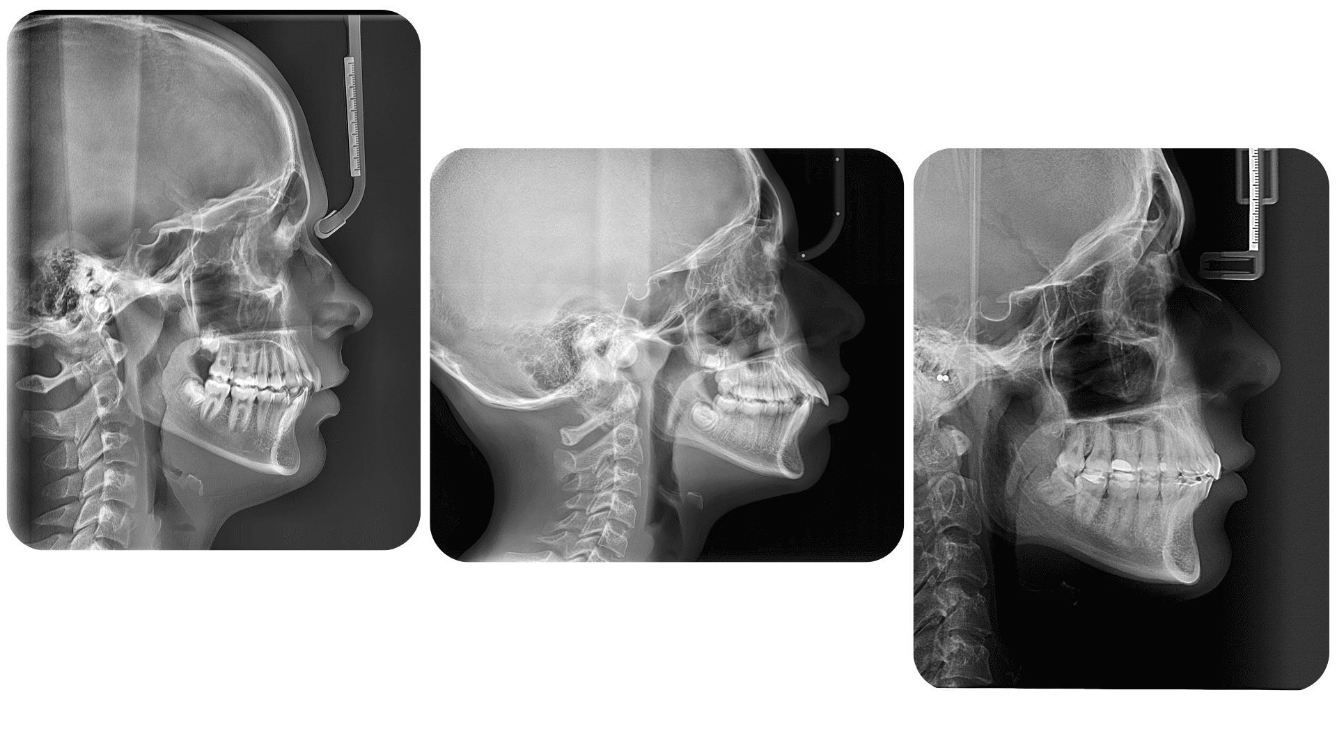
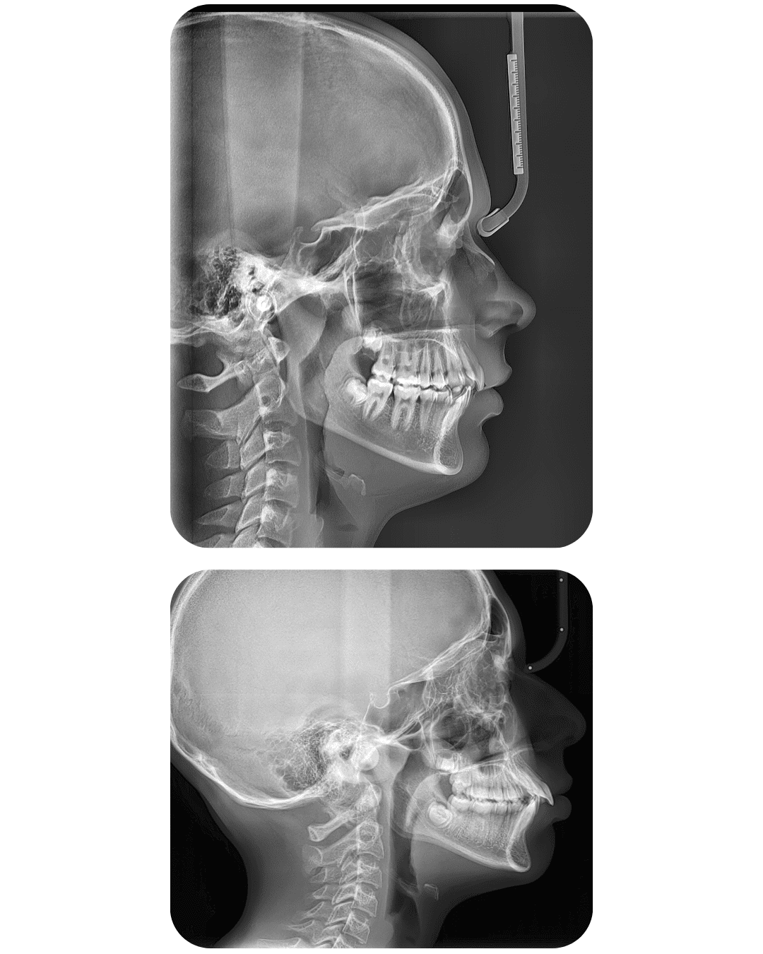
TELERENTGEN
Telerentgen nudi detaljnu ortodontsku dijagnostiku, omogućujući detaljan uvid u rast čeljusti i profil lica te planiranje terapije s maksimalnom točnošću.
SNIMANJE POJEDINAČNIH ZUBA
Fokusirano snimanje pojedinačnih zuba i ciljanih regija čeljusti posebno je važno u endodonciji, pri analizi korijenskih kanala, fraktura zuba i upalnih procesa.
Snimanjem isključivo potrebnog područja osigurava se visoka dijagnostička preciznost, uz minimalnu izloženost pacijenta zračenju.

Korištenjem suvremene radiološke dijagnostike podižemo standarde dentalne usluge jer precizna dijagnoza nije samo početak terapije, ona je garancija njezina uspjeha. Vidjeti jasno znači liječiti sigurno.
